Sélection de l'été

Sélection de l'été

Neurosciences : une heure devant un écran serait 20 minutes de vie en moins

@Bleu_Rochelle

Un docteur en neurosciences met en garde contre le danger de rester trop longtemps devant un écran : Une heure passée devant la télé, c'est 20 minutes de vie en moins dit Michel Desmurget. Il sera ce jeudi soir de 19h à 21h au Palais des >>>

 
nouvelles.umon nouvelles.umon

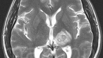
Découverte d'un anticorps qui stimule l'élimination du cancer par le système immunitaire

@savoir_media 2 ans

leseclaireurs. leseclaireurs.

Égypte: 92% des filles et des femmes de 15 à 49 ans ont subi une mutilation génitale

@FederationGAMS 2 ans

nationalgeogra nationalgeogra
lefigaro.fr lefigaro.fr
bbc.com bbc.com

Superbe. L'image d'un jeune ours polaire s'endormant sur un iceberg, prix du public du Photographe animalier de l'année

@MarkKersten 1 an

women.ncr-iran women.ncr-iran

Mariages forcés en Iran: plus de 15 000 filles de moins de 15 ans ont donné naissance à un enfant au cours de la dernière décennie

@AidaFekrian 2 ans

women.ncr-iran women.ncr-iran

Le régime iranien détient le record du monde d'exécutions de femmes: ici la liste des femmes exécutées depuis 2007

@afchine_alavi 1 an

rukhshana.com rukhshana.com

Afghanistan. Une adolescente de 16 ans emprisonnée pour avoir demandé le divorce

@RukhshanaMedia 1 an

femina.ch femina.ch

Iran: «Les femmes continuent de désobéir en refusant de porter le voile»

@Femina_fr 2 ans

actuforcesdelo actuforcesdelo

Toulouse : une jeune femme de 27 ans écrase avec sa voiture l'homme qui venait de la violer

@ActuFDO 2 ans

reporterre.net reporterre.net

«L'homme qui arrêta le désert». Le paysan Yacouba Sawadogo a créé une forêt sur des terres arides au Burkina Faso

@Reporterre 1 an

unfpa.org unfpa.org

Aucune femme ni aucune fille ne devrait jamais avoir à subir de mutilations génitales

@ONU_fr 1 an

twitter.com twitter.com

Anne L'Huillier : 5ème femme à obtenir le Nobel de physique depuis 1901

@FC_actu 2 ans

elpais.com elpais.com

Les femmes afghanes dénoncent le silence du monde face aux crimes des talibans

@Planeta_Futuro 2 ans

france3-region france3-region

"Jusqu'au bout, j'irai. Je parlerai" : rescapée d'Auschwitz, Denise Holstein, 97 ans, raconte l'horreur des camps

@F3cotedazur 1 an

lepoint.fr lepoint.fr

Renvoyée de la sélection iranienne pour avoir refusé de porter le voile en 2019, la joueuse d'échecs Mitra Hejazipour est devenue championne de France

@LePoint 2 ans

vaticannews.va vaticannews.va

Sud du Tchad: des femmes disent «non» à l'excision

@Doubangar 1 an

ABONNEZ-VOUS
À LA NEWSLETTER !
ABONNEZ-VOUS À LA NEWSLETTER!