Les tweets du 04/04/2024

Cliquez sur l'année, le mois, puis le jour qui vous intéressent et retrouvez tous les tweets sélectionnés par L'important à cette date.
Mois :
twitter.com twitter.com

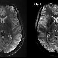
Cerveau: comparaison d'une vue zoomée du lobe occipital à 7T et à 11,7 T, à même résolution et à temps d'acquisition identique

@CEA_Officiel 2 ans

    

efeminista. efeminista.com

Espagne : plus de la moitié des travailleuses domestiques migrantes ont subi des violences sexuelles

@efeminista_efe 2 ans

El 53 % de las mujeres migrantes trabajadoras del hogar y de los cuidados dice haberse sentido vctima de acoso o violencia sexual en el trabajo y el 91 % de ell     

infomigrant infomigrants.n

Paris : un migrant battu à mort au Canal Saint-Martin par un autre exilé

@InfoMigrants_fr 2 ans

Un migrant originaire d'Afrique de l'Ouest est souponn davoir, dimanche matin sur le canal Saint-Martin Paris, battu mort un autre exil. L'homme connu pour de     

journaldemo journaldemontr

Produits de vapotage: les additifs endommagent une partie vitale des poumons

@JdeMontreal 2 ans

Un additif utilis dans les produits de vapotage endommagerait une membrane vitale des poumons.     

radiookapi. radiookapi.net

RDC: des bombes larguées par le M23 tuent un enfant à Mubambiro

@radiookapi 2 ans

Les rebelles du M23 ont largu quatre bombes ce jeudi matin 4 avril vers Sake (Nord-Kivu), tuant un enfant et blessant quatre autres personnes, selon des sources     

gallica.bnf gallica.bnf.fr

4 avril 1791: l'Assemblée Constituante vote la création du Panthéon

@GallicaBnF 2 ans

Panthon : [dessin] / [non identifi] -- 179. -- images     

francetvinf francetvinfo.f

MeToo des armées : «Les chiffres sont complètement sous-évalués»

@humanitelles 2 ans

Elle propose notamment de revoir les rgimes des sanctions et de faire le bilan de la cellule Thmis, charge de recueillir les tmoignages de victimes et de lancer     

fr.euronews fr.euronews.co

Paris: après l'expulsion de 50 personnes du parvis de l'hôtel de ville, plusieurs associations dénoncent un nettoyage social

@euronewsfr 2 ans

Aprs l'expulsion de 50 personnes du parvis de l'htel de ville, plusieurs associations dnoncent un nettoyage social dans la capitale.     

ledevoir.co ledevoir.com

TikTok, nouveau terrain de recrutement pour la guérilla colombienne

@LeDevoir 2 ans

Ltat-major central mne sur les rseaux sociaux une intense campagne de sduction lattention des jeunes.     

scienceseta sciencesetaven

Rougeole: recrudescence en 2023 et un avertissement avant le brassage des JO-2024

@Sciences_Avenir 2 ans

    

scienceseta sciencesetaven

La planète a perdu en surface de forêt vierge tropicale l'équivalent de 10 terrains de foot par minute en 2023

@Sciences_Avenir 2 ans

    

lesoir.be lesoir.be

Pays-Bas: la mauvaise qualité de l'air, un facteur aggravant des décès liés au covid

@lesoir 2 ans

    

france3-reg france3-region

« Si je ne le fais pas, qui va le faire ? », 80 ans après la rafle de la Maison d'Izieu les anciens enfants racontent

@F3Regions 2 ans

Il y a 80 ans, la Gestapo arrtait 51 personnes juives, dont 44 enfants dans une maison de l'Ain. Le lieu devenu mmorial commmore cette journe du 7 avril 1944, e     

sudouest.fr sudouest.fr

Les aliments ingérés pendant la grossesse auraient une influence sur le visage de l'enfant

@sudouest 2 ans

Selon une tude, le rgime alimentaire de la femme enceinte, et notamment sa teneur en protines, pourrait avoir un impact sur la finesse des traits du visage du f     

twitter.com twitter.com

Voyager sur les toits des trains au Bangladesh: une pratique courante mais interdite depuis 2022

@WolfofX 2 ans

    

courrier-pi courrier-picar

Le monde compte 2 781 milliardaires: un chiffre jamais atteint auparavant

@CourrierPicard 2 ans

    

neoskosmos. neoskosmos.com

Grèce: une femme tuée par son ex-compagnon devant un commissariat où elle s'était rendue pour se protéger de lui

@NeosKosmos 2 ans

There are calls for femicide - the killing of women or girls with a gender-related motivation - to be recognised in Greece's criminal code following the death o     

twitter.com twitter.com

Japon, Fukushima: un très fort séisme de magnitude 6,2 a frappé l'océan Pacifique Nord

@LeDirectInfo 2 ans

    

twitter.com twitter.com

RDC: «On ma torturée jusqu'à en perdre connaissance. J'en ai des cicatrices profondes sur mon corps et dans mon âme»

@FonarevRDC 2 ans

    

afintl.com afintl.com

Le journaliste afghan Abdul Aleem Saqib agressé et grièvement blessé au Pakistan

@AFIntl_En 2 ans

Afghan Journalists in Exile and several other sources reported that Abdul Aleem Saqib, also known as Ahmad Hanayesh, an Afghan journalist based in Islamabad, ha     

inegalites. inegalites.fr

Une personne équipée d'un appareil auditif pour compenser sa surdité a moins de chances d'être invitée à un entretien d'embauche, selon un testing

@AutismeInfo 2 ans

Une personne quipe d'un appareil auditif pour compenser sa surdit a moins de chances d'tre invite un entretien d'embauche. Des donnes qui montrent que les pers     

pravda.com. pravda.com.ua

L'Ukraine libère 4 autres enfants de l'occupation russe

@pravda_eng 2 ans

Four more children have been brought back to Ukrainian-controlled territory from the temporarily occupied part of Kherson Oblast.     

twitter.com twitter.com

Gaza: «Ce sont des fournitures vitales qui doivent être acheminées de toute urgence. Des enfants sont morts de malnutrition»

@UNICEF_france 2 ans

    

nouvelobs.c nouvelobs.com

«Au moment où j'ai voulu me lever, c'était impossible» : l'arrêt de travail menstruel, une nécessité pour certaines femmes

@humanitelles 2 ans

Prs dune femme sur deux souffre chaque mois de rgles incapacitantes qui peuvent avoir un impact sur leur travail. Ce jeudi, lAssemble nationale examine une prop     

twitter.com twitter.com

Ukraine, Kharkiv. La mère d'un pompier tué par un drone russe laisse une rose à l'endroit de l'attaque

@ronzheimer 2 ans

    

twitter.com twitter.com

Syrie. Les combattantes kurdes des YPJ célèbrent le 11 anniversaire de la création des Unités de Protection de la Femme

@KurdistanAu 2 ans

    

twitter.com twitter.com

Iran. La base du CGRI attaquée par des militants baloutches de Jaish ul-Adl, au moins 11 personnes tuées

@FazelHawramy 2 ans

    

humanite.fr humanite.fr

La France condamnée par la CEDH pour les conditions de vie des harkis dans les camps d'accueil dans les années 1960 et 1970

@humanite_fr 2 ans

La Cour europenne des droits de lhomme a condamn jeudi 4avril la France pour les conditions de vie pas compatibles avec le respect de la dignit humaine des ha..     

euractiv.fr euractiv.fr

Européennes : un candidat d'extrême droite allemande accusé d'être lié à la Russie.

@Jeff_Dup 2 ans

Petr Bystron, membre minent du parti d'extrme droite allemand Alternative pour l'Allemagne (AfD) et candidat au Parlement europen aux lections de juin, a t accu     

radiofrance radiofrance.fr

«Puissent les femmes gouverner le monde»: 30 ans après sa mort, les pensées féministes de Kurt Cobain

@franceinter 2 ans

Vendredi 5 avril, cela fera 30 ans que Kurt Cobain s'est donn la mort l'ge de 27 ans. Le leader de Nirvana l'origine d'une musique la fois douce et rageuse q     

twitter.com twitter.com

Kurdistan : les Kurdes célébrent la victoire du parti DEM à Van, faisant plier Erdogan qui voulait usurper leur municipalité

@KurdistanAu 2 ans

    

twitter.com twitter.com

Canada: un dispositif original pour forcer les automobilistes à s'arrêter au passage piéton (les briques sont en mousse)

@creapills 2 ans

    

twitter.com twitter.com

Héroïnes! Ces infirmières protègent les bébés pendant le séisme à Taiwan

@UHN_Plus 2 ans

    

twitter.com twitter.com

Héroïnes! Ces infirmières protègent les bébés pendant le séisme à Taiwan

@UHN_Plus 2 ans

    

twitter.com twitter.com

Héroïnes! Ces infirmières protègent les bébés pendant le séisme à Taiwan

@UHN_Plus 2 ans

    

france24.co france24.com

Sénégal: le président élu Bassirou Diomaye Faye affiche sa polygamie

@michombero 2 ans

Celui qui doit tre investi mardi prsident du Sngal, Bassirou Diomaye Faye, s'affiche publiquement avec ses deux pouses, Marie Khone etAbsa Faye. Une situation q     

twitter.com twitter.com

Que se passe-t-il quand on essore une serviette dans l'espace ?

@fascinations_sp 2 ans

    

twitter.com twitter.com

Jérusalem. Des milliers de manifestants envahissent les rues pour réclamer le départ de Netanyahou

@CGalipeauTJ 2 ans

    

twitter.com twitter.com

Éruption du volcan Marapi en Indonésie

@NationalIndNews 2 ans

    

leparisien. leparisien.fr

Shanon, 13 ans, est décédée après avoir été violée début mars à Rantigny, dans l'Oise

@LeParisien_75 2 ans

Ladolescente de 13 ans, dcde aprs avoir t viole dbut mars Rantigny (Oise), sera enterre aprs une crmonie en lglise de Cauff     

rfi.fr rfi.fr

l'Assemblée nationale française se penche sur les dangers des «polluants éternels»

@RFI 2 ans

On les appelle polluants ternels car ils persistent des dcennies dans l'air, le sol, les rivires et s'accumulent aussi dans la nourriture et dans nos corps. Les     

infomigrant infomigrants.n

Hausse migratoire en Espagne: plus de 16000 réfugiés depuis le début de l'année contre 6000 l'an passé

@InfoMigrants 2 ans

At least 16,156 migrants entered Spain irregularly in the first trimester of 2024, marking the highest number registered in the January-March period in the last     

fr.euronews fr.euronews.co

Massacre de Boutcha: «Les Russes ne nous ont pas permis d'enterrer les morts pour effrayer ceux qui restaient»

@euronewsfr 2 ans

    

fr.euronews fr.euronews.co

Les personnes qui vivent avec un handicap bien plus exposées au risque de pauvreté que les autres

@euronewsfr 2 ans

    

rukhshana.c rukhshana.com

Afghanistan. Les talibans fouettent publiquement neuf personnes pour adultère, fugue et fraude

@RukhshanaMedia 2 ans

Nine people have been punished by flogging after being found guilty of various crimes in Taliban courts, the Taliban Supreme Court said.     

leparisien. leparisien.fr

Édouard Philippe visé par une enquête préliminaire du PNF pour prise illégale d'intérêt, détournement de fonds publics, favoritisme et harcèlement moral

@leparisien_pol 2 ans

Des perquisitions ont eu lieu la mairie et la communaut urbaine duHavre, mercredi matin, dans le cadre dune enqute prliminaire, cibla     

lematin.ch lematin.ch

Iran: 853 exécutions en 2023, Amnesty dénonce un bilan «effroyable»

@Lematinch 2 ans

Le rgime de Thran a excut au moins 853 prisonniers lanne dernire, selon Amnesty International, le total le plus lev depuis 2015.     

kurdistan-a kurdistan-au-f

Turquie: grâce à la résistance kurde, le maire élu Abdullah Zeydan reprend son mandat qu'on voulait donner au candidat d'Erdogan

@KurdistanAu 2 ans

TURQUIE / KURDISTAN ? Grace la mobilisation massive des Kurdes face l?usurpation par Erdogan de la municipalit kurde de Van, le haut conseil lectoral turc a d     

twitter.com twitter.com

En 2001, deux vols de Japan Airlines ont évité de peu une collision en plein vol

@planesanity 2 ans

    

jpost.com jpost.com

Les États-Unis envisagent de retirer les Houthis de la liste terroriste en échange du calme en mer Rouge

@JoopSoesan 2 ans

The comment is in line with US Secretary of State Antony Blinken's statements in November that the US would re-evaluate the designation if the Houthis ceased at     

basta.media basta.media

Des produits pris en charge à 100% : Cadenet, un village du Vaucluse, expérimente une sécurité sociale alimentaire

@bastamedia_ 2 ans

Cadenet, village du Vaucluse, des habitantes ont rflchi ensemble, durant plusieurs mois, leurs aspirations pour une alimentation dsirable. Leur convention ci     

forbes.com forbes.com

Nombre record de 2 781 milliardaires, qui valent la somme record de 14 200 milliards$. Seulement 13% sont des femmes

@simisola10 2 ans

Heres whos up, whos down, whos new and whos off the yearly Forbes billionaires ranking.     

podcasts.20 podcasts.20min

Inceste. Quand les mères savent mais ne disent rien

@ALBeraud 2 ans

Hlne Romano et Karine Dusfour travaillent depuis dj plusieurs annes sur le sujet de l'inceste. Leurs recherches les ont conduites questionner le ...     

i24news.tv i24news.tv

«Il y a tellement d'aide humanitaire acheminée à Gaza que les ONG ont dû mal à la distribuer», pointe Israël

@EbenYaakov 2 ans

Le pays a fourni pour la premire fois le dtail des quantits d'aide humanitaire entres Gaza depuis la mi-octobre     

english.elp english.elpais

Colombie. Medellín déclare la guerre au tourisme sexuel après qu'un citoyen américain a été retrouvé avec deux petites filles dans un hôtel

@ColombiaCalling 2 ans

The citys mayor Federico Gutirrez announces the six-month suspension of sex work in the neighborhood El Poblado and limits operating hours of the bars and clubs     

infomigrant infomigrants.n

Allemagne : les migrants désormais contraints d'effectuer des travaux dans leur centre d'accueil pour ne pas perdre une partie de leurs aides sociales

@Catheri57578385 2 ans

Dans certaines rgions en Allemagne, les demandeurs d'asile sont dsormais contraints d'effectuer des travaux dans leur centre d'accueil pour ne pas perdre une pa     

24matins.fr 24matins.fr

L'Otan envisage un fonds de 100 milliards d'euros pour soutenir l'Ukraine

@24matins 2 ans

Lors de la runion des ministres des Affaires trangres de l'Otan Bruxelles ce mercredi, Jens Stoltenberg, secrtaire gnral de l'organisation, envisage de suggrer     

spiegel.de spiegel.de

Appel du ministre de la Défense: la Russie met en garde la France contre l'envoi de troupes en Ukraine

@derspiegel 2 ans

Es war ihr erstes Telefonat seit eineinhalb Jahren: Russlands Verteidigungsminister Sergej Schoigu hat seinen franzsischen Amtskollegen Sbastien Lecornu angeruf     

rarehistori rarehistorical

Photos glaçantes de l'extermination des bisons dans l'Amérique du 19e siècle

@RareHPhotos 2 ans

As the United States expanded westward in the early 1800s, a booming trade in American Bison fur, skin, and meat flourished across the Great Plains. By the 1860     

twitter.com twitter.com

Martin Luther King Jr a été assassiné le 4 avril 1968: son dernier discours de la veille, le 3 avril

@guardian 2 ans

    

twitter.com twitter.com

L'artiste français Guillaume Lagrosse a réalisé cette immense fresque sur la plus grande centrale solaire au sultanat d'Oman

@alex_avoigt 2 ans

    

twitter.com twitter.com

«Tes livres sont faits de ces arbres qui dansent dans l'éternel été de nos vies». L'Académicien Dany Laferrière rend hommage à Maryse Condé

@GrandeLibrairie 2 ans

    

twitter.com twitter.com

Entre les États-Unis et le Canada: la plus longue frontière sans défense au monde

@froggyups 2 ans

    

twitter.com twitter.com

Une grosse vague aux Maldives

@AMAZlNGNATURE 2 ans

    

theverge.co theverge.com

Le générateur d'images IA de Meta refuse d'imaginer un homme asiatique avec une femme blanche

@verge 2 ans

The AI tool consistently created images with two Asian people.     

twitter.com twitter.com

USA. Au moins 48 000 coeurs colorés éparpillés dans le Capitole de l'Idaho, chacun représentant une personne s'identifiant comme LGBTQ+ dans l'État

@PinkNews 2 ans

    

rfi.fr rfi.fr

Violences sexuelles: en France, 86% des plaintes classées sans suite

@chaussisfamily 2 ans

Selon une note parue mercredi 3avril par lInstitut des politiques publiques, 86% des plaintes pour violences sexuelles sont classes sans suite. Cest aussi le ca     

francebleu. francebleu.fr

Rafle des enfants juifs d'Izieu : ce télégramme qui a permis de confondre leur bourreau, Klaus Barbie

@chaussisfamily 2 ans

Le 6 avril 44, les nazis raflent 44 enfants juifs, rfugis dans la maison d'Izieu, dans l'Ain. C'est Klaus Barbie, chef de la Gestapo Lyon, qui l'ordonne. Conda     

enedis.fr enedis.fr

Les énergies renouvelables couvrent plus de 30 % de la consommation électrique française

@legeniehumain 2 ans

Publication du Panorama de llectricit renouvelable au 31 dcembre 2023 La puissance totale du parc lectrique EnR hydrolectricit, olien, solaire photovoltaque et